網膜には動脈と静脈が網の目のように走っており、網膜に栄養を供給する役割を果たしていますが、硬くなった動脈(動脈硬化)により静脈が圧迫を受けたり、血栓などがつまったりして網膜静脈の血液の流れが途絶えてしまう状態です。
突然の目のかすみ・視力低下が主な症状ですが、血管の閉塞した場所などによって視力低下の程度は様々で、全く自覚症状がないこともあります。網膜に出血を起こすことがほとんどで、これが黄斑部に及ぶと視力が低下します。
診断は眼底検査で得られますが、障害された血液の流れの状態を正確に把握するため、場合によっては造影剤を用いた蛍光眼底造影検査を行うことがあります。
治療としては、止血薬・血流改善薬・抗凝固薬・抗血小板薬などの内服治療が行われることも、また重症例の急性期には点滴による治療を行うこともあります。長期間にわたり静脈が閉塞したままの状態で放置された場合、眼内の血液不足を補おうとする反応として、目の中で新たな血管(新生血管)が生えてくることがあります。新生血管は難治性の緑内障を引き起こしたり、破裂して硝子体出血を来たしたりすることがあるため、新生血管の発生を予防する目的で早期にレーザーによる網膜光凝固を行うことがあります。
「この病気に続発する黄斑浮腫(おうはんふしゅ)に対して、加齢黄斑変性と同様にルセンティス治療・アイリーア治療は有効性が認められており、保険適応となっています。」
糖尿病や高血圧などのいわゆる成人病がこの病気の誘因であることが多く、これらに対する治療は非常に重要です。また、禁煙することも効果的です。
網膜は、「感覚網膜」という光を感じる神経組織と、その土台となっている「網膜色素上皮」に大きく分かれますが、感覚網膜が網膜色素上皮から剥がれることを網膜剥離といいます。
単に「網膜剥離」という場合には、裂孔原性網膜剥離といって、網膜の一部に裂孔(裂け目)ができて、そこから年齢とともに液化の進んだ硝子体が網膜下に入り込むことで網膜剥離を生じてくる病態のことを言います。放置しておくと網膜は全部剥離してしまい失明状態となります。

後遺症を減らしなるべく良好な視機能を維持するためにはできるだけ早く治療する必要があります。裂孔だけの段階ではレーザー治療が可能ですが、いったん網膜剥離を生じると、きわめて狭い範囲のみの剥離である場合を除いて、大抵の場合手術が必要となります。網膜剥離の手術には「強膜バックリング」と「硝子体手術」がありますが、どちらの手術にも長所と短所があり、それぞれのケースにより適した手術法が採られます。
網膜剥離が起きる前にしばしば、「飛蚊症(ひぶんしょう)」という前駆症状があります。
よく晴れた空を見上げたり白い壁を背景にしたときに、目の前に虫が飛んでいるように見えたり、あるいは糸くずのような浮遊物が見えてしかも視線を動かすと一緒に移動する、といった症状のことを「飛蚊症」といいます。飛蚊症は、硝子体の中ににごりができて、明るいところを見るときにそのにごりの影が網膜に映って見えるために引き起こされる症状です。
飛蚊症には網膜裂孔・網膜剥離などの場合に自覚される病的な状態に伴うものと、生理的なものがあります。生理的なものは、加齢に伴って硝子体がゼリー状から液状に変化してゆくとともに、その後面が眼底つまり網膜側からはがれて(後部硝子体剥離)、さまざまな形のにごりを生じるために起きるものです。若い人でも近視が強い場合には、硝子体が早期に液状化し硝子体剥離も早めに生じて、飛蚊症を自覚します。
飛蚊症を自覚した場合、特に以前に比べ飛蚊症が強くなったと感じた場合には、眼科受診をお勧めします。
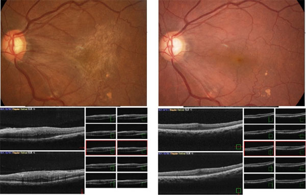
網膜の中心部である黄斑部にうすい膜が形成されて、黄斑部の網膜を牽引します。 ある程度進行すると物がゆがんで見えるようになり、視力が低下してきます。これらの症状が強くなれば、硝子体手術を行って、膜を剥がす治療を検討します。 手術で膜を剥がすとほとんどの場合視力は改善し、ゆがみも軽快しますが、完全にゆがみが消失することは稀です(図5)。術前の視力が良いほど、術後の視力も良い傾向があります。

図5:網膜上膜.術前視力0.3(左).硝子体手術後に視力は
1.0に改善した(右).ゆがみ[変視症]を後遺している.
黄斑に小さな円形の穴(円孔)があいて、ものが視野の中心に向かってつぶれたように見えるようになり、視力も低下します。治療は硝子体手術を行い、眼内にガスを注入し、うつぶせの姿勢を保持して円孔を閉鎖させます(図6)。円孔が開いてからの期間が短く、術前視力が良いほど、術後視力も良い傾向があります。 うつぶせ姿勢の保持が必要で、入院設備のある施設に紹介させていただいています。

図6:黄斑円孔.術前視力0.09(左).硝子体手術後に視力は0.6に改善した(右).
光干渉断層計検査で円孔の閉鎖がみられる。